COVID-19 Diagnosis Applied DWT and CNN on X-ray Chest Images

Muzhir Shaban Al-Ani1*, Qeethara Al-Shayea2, Shokhan M. Al-Barzinji3, Dimah Mezher Shaban Al-Ani4, Zainab Mezher Shaban Al-Ani5

1Department of Information Technology, College of Science and Technology, University of Human Development, Sulaymaniyah, Iraq, 2Department of MIS, Al-Zaytoonah University of Jordan, Amman, Jordan, 3Department of Information Technology, College of Computer Science and Information Technology, University of Anbar, Ramadi, Iraq, 4Department of Pharmacy, College of Pharmacy, University of Philadelphia, Amman, Jordan, 5Ramadi Teaching Hospital, Ramadi, Iraq

Corresponding author’s e-mail: Muzhir Shaban Al-Ani, Department of Information Technology, College of Science and Technology, University of Human Development, Sulaymaniyah, Iraq. email: muzhir.al-ani@uhd.edu.iq
Received: 22-09-2023 Accepted: 26-11-2023 Published: 19-12-2023
DOI: 10.21928/uhdjst.v7n2y2023.pp69-76


ABSTRACT

Background: Medical images have many important applications, and this importance increased when the emergence of the COVID-19 pandemic. These applications have been focused on computed tomography chest images and X-ray images. This research will focus on special X-ray medical image applications of coronavirus (COVID-19).

Methods: Many methods are applied on medical images to achieve certain features. The designed approach is implemented through many steps starting from preprocessing up to classification step. The proposed approach focusing on generating efficient features using discrete wavelet transform (DWT) then applying convolutional neural network (CNN) to classify between normal and abnormal COVID-19.

Results: The COVID-19 diagnosis approach is implemented to achieve high performance system. The obtained result of COVID-19 diagnosis applied CNN tool leading to validation accuracy of 92.31%.

Conclusion: Hybridizing two technologies (DWT and CNN) is intended to reach the best results in the diagnostic process. In addition, X-ray chest image is an important tool for detection and diagnosis of COVID-19 diseases.

Index Terms: Coronavirus, Diagnosis, Chest Images, Discrete Wavelet Transform, Convolutional Neural Network

1. INTRODUCTION

Coronavirus began in China at the end of 2019 and then spread to all parts of the world and has led to many economic and social impacts. In addition to that it led to large numbers of dead, and this greatly affected medical staff, because they are in direct contact with people with this disease. Then, the World Health Organization (WHO) classified COVID-19 as a pandemic and developed a number of procedures and recommendations for reducing this disease [1], [2], [3].

Many medical companies have sought to work and persevere to find an effective drug for this disease, but all these efforts did not succeed, but many of the proposals were tested with the use of drugs that already exist and have been used for other diseases. All of this led to great pressures on doctors and researchers in the medical field, especially so far, there is no glimmer of hope for an effective vaccine for this disease [4], [5], [6].

After the appearance of the coronavirus several weeks ago, at the beginning of the year 2020, many leaders and politicians began to say that treatment for this disease would soon be accessible to all, and among them are the leaders of the superpowers countries, but all of this has become windy after the number of infected people exceeded 12 million and the number of dead becomes more than half million, and the question that arises is whether this virus was found to remain [7], [8], [9].

The overcoming and complete control of the coronavirus issue has become a matter of no less, to implement many procedures and tests without reaching satisfactory results that can be generalized [10], [11], [12]. Therefore, it is necessary to continue the research work with the support of all countries to reduce this pandemic and stand on the latest developments [13], [14], [15].

There have been many tests to confirm infection with the coronavirus, and some of these tests are focusing on radiographs. A method has been suggested to COVID-19 diagnosis applied discrete wavelet transform (DWT) and convolutional neural network (CNN) on X-ray chest images.

2. CORONAVIRUS (COVID-19)

This section explains two main aspects of COVID-19: Protection and mechanism.

2.1. COVID-19 Protection

Six months after the appearance of the coronavirus in China and its spread throughout the world, researchers have been working hard on this disease, but so far no effective treatment has been found for this disease [16], [17]. Several tips have emerged to prevent coronavirus and some of these wills have been confirmed by the WHO [18], [19]. In general, since this disease is still prevalent in all countries of the world and that some of the patients have symptoms that appear lightly, therefore, care must be taken and caution, and there are a set of things that are preferred to be adhered to prevent this disease [20], [21], [22]:

  • Wash hands regularly with soap and water or use an alcohol disinfectant

  • Use gloves to leave the house to avoid hand contact

  • Avoid going to crowded places, preferably using a mask when necessary

  • Avoid approaching a lot of people, because there is a high risk of infection

  • Avoid touching your eyes, nose, and mouth, as this is a very dangerous of infection

  • All purchases that you bring from the market must be sterilized before entering the home

  • Leave shoes outside the home to ensure that viruses and bacteria that are attached to them do not get inside.

2.2. COVID-19 Mechanism

COVID-19 virus gets in the human body through many ways: Eyes, nose, and mouth [23], [24]. There are two main directions for the virus: either go to the stomach and kill there or go to the respiratory system, and here, the problem occurs [23], [24].

The main problem of the new generation of coronavirus appeared in December 2019 (COVID-19), there are many scenarios in which it affects the human body [25]. One of these scenarios focusing when of the virus enters the respiratory system, it passes through human body in 12 steps to perform its mechanism, as shown in Fig. 1 [26], [27]. These steps starting by entering the coronavirus to the human body up to their effects on breathing that causes many difficulties [11], [22]. The problem becomes dangerous when the virus starts attack the cells then the cell become resources of virus that the cell multiply itself, then new copy of the virus will be generated and so on, in this case, the problem becomes more dangerous in which affected the breathing system [28], [29].

thumblarge

Fig. 1. Steps to enter coronavirus.

3. RELATED WORK

Given the proliferation of coronavirus significantly since the beginning of the year 2020, therefore, researchers have begun working on this pandemic and that there is a lot of research papers focused on this topic. In this paragraph, we will focus on a number of recent research papers published on this topic.

Mitra et al. (2020) presented the risk of LQTS and TdP with chloroquine, hydroxychloroquine, or azithromycin used alone or in combination, previous reports of combined treatment in patients with malaria suggested that the risk is very low. In COVID-19, hospitalized patients may increase the risk of QT interval prolongation and TdP due to previous or concomitant medications, age, sex, and metabolic disorders (pH, hypoxia, electrolyte, and system failure abnormalities). They suggested that direct damage to the viral or autoimmune myocardium may also occur in patients with COVID-19 [30].

Vahia et al. (2020) anticipated the need for timely and valid scientific information on a wide range of COVID-19. They included the risk of death from coronavirus, stress around behaviors that can lead to contact/infection (including contact with caregivers). Taking social distance and isolation measures implemented by governments around the world and the neurobiological consequences of stress and resulting inflammation, which can increase vulnerability to mental health problems. In a population where loneliness and isolation have already been described as an epidemic, the impact of social distancing measures needs to be studied in detail [31].

Shaker et al. (2020) developed recommendations using a modified and adapted Delphi methodology to reach a consensus. During the COVID-19 pandemic, social distancing is required; most allergy immunology care could be delayed or treated with virtual care. With the exception of many patients with primary immunodeficiency, patients with venom immunotherapy, and patients with asthma of some severity, personal visits in these conditions are limited. These suggestions are required to adjust the service to mitigate risks to medical staff and patients. It is important to note that individual community circumstances may be unique and require contextual consideration [32].

Price et al. (2020) implemented (through limiting exposure) a coded classification system that allows us to prioritize and provide appropriate care to each patient. They implemented a key step of this model as soon as possible in combination with teledermatology, and they suggested other practices. Patients with high acuity, such as those with life-threatening lesions and rashes, have priority for in-person visits. In addition, patients can continue long-term management while reducing the risk of exposure [33].

Vervoort et al. (2020) explained the requirement of critical medical at the levels of the health systems. They demonstrate the collaboration, to provide the care that needed for the patients, while improving the understanding of the complexities of people’s cardiovascular health due to COVID-19 pandemic. Canadian Cardiovascular Society introduced their efforts to promote cardiovascular physicians’ engagement on social media and encourage everyone to join the health system in fighting the day’s epidemic using their voices as physicians to educate during the COVID-19 pandemic [34].

Xu and Zhang (2020) Described pneumonia resulting from covid-19, which has been widespread in China since December 2019. There was no verified effective treatment for this disease, so the morbidity and mortality rate is assumed to be higher than the normal flu. Traditional Chinese medicine is widely used in clinical practice in China, but in many other countries around the world to treat conditions that remain clinically difficult. They suggested that Traditional Chinese Medicine might be useful for worldwide people infected with coronavirus disease [35].

Post et al. (2020) studied the case of low sodium rising the high risk factor through COVID-19 infection. The regular dietary salt intake, more acute changes in sodium balance may also influence ACE2 receptor expression. Intermittent loss of sodium, due to diarrhea, vomiting, or sweating, could put patients who acquire COVID-19 infection at an increased risk of developing a more serious or fatal disease. It seems prudent to monitor sodium intake and start resuscitation with sodium and fluids at the start of a more severe COVID-19 infection and perhaps also refrain from strong sodium restrictions during the current COVID-19 epidemic [30].

Li et al. (2020) presented a reported literature including statistical factors related to COVID-19 disease. In this study, 2506 patients with COVID-19 were included, of whom appearance of diarrhea was 5.8%. However, the analysis of data indicated that 6.3% was the frequency of diarrhea. Differential onset of diarrhea between studies may be due to different criteria for determining diarrhea. Therefore, patients with COVID-19 should pay special attention to hand hygiene and avoid sharing the bathroom with family members [36].

Lippi and Henry (2020) implemented a concise meta-analysis demonstrate that chronic obstructive pulmonary disease (COPD) is associated with a significant risk, including severe infection with COVID-19. Patients with a history of COPD should be encouraged to take more restrictive measures to minimize potential exposure to COVID-19 and contact with suspected or confirmed cases of COVID-19. Physicians should also carefully monitor all COPD patients suspected of infection and it may be advisable to consider COPD as a variable in future risk stratification models [37].

Ali et al. (2020) suggested a remarkable genomic similarity to the 2019-nCoV severe acute respiratory syndrome. With evidence of nosocomial spread, a number of diligent measures are being used to limit its spread. Therefore, the WHO established the Public Health Emergency of International Concern with strategic objectives for public health to limit its impact on health and the global economy [38].

Goh et al. (2020) indicated that coronavirus infected a variety of animals, including humans, with different levels of respiratory and fecal-oral transmission depending on the behavior of the virus and optimal viral capacity. They constructed a model to classify and predict the levels of the respective respiratory and fecal-oral transmission potentials of different viruses before the outbreak of COVID-19 using artificial intelligent and empirical molecular tools to predict the level of protein disorder [39].

Underner et al. (2020) studied the effect of smoking through coronavirus disease COVID-19. In this case, the prevalence of smoking is very high among men (52.1%) and low in women (2.7%). This high prevalence of smoking in men, the cause of tobacco-related lung and heart disease, could worsen in coronavirus disease (COVID-19) [40].

Al-Ani and Al-Ani (2020) applied statistical measurements on the published works using coronavirus as a keyword. Their work concentrated on the selected 100 research papers on COVID-19. The human respiratory system is infected directly by this virus as mentioned by the literature review. The analysis of these papers indicated that medicine filed is the most weighted published papers of COVID-19 and China is the top country of the research papers [41].

In general, most of the above related works are focusing on effect of COVID-19 with the existing of other diseases. In addition, there are many guidance through COVID-19 pandemic such as: The guidance steps of medical treatment, healthcare guidance, statistical measures of infections, risk factor infection, and so on.

4. METHODOLOGY

The research methodology is divided into two parts: X-ray images (collected data) and corona virus detection approach.

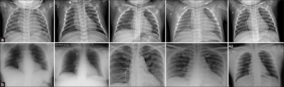
4.1. X-ray Images

Two sets of X-ray images are used in this approach, as shown in Fig. 2, the first set regarding to normal X-ray images and the second set is abnormal X-ray images. These images are prepared to be ready for the implementation process.

thumblarge

Fig. 2. X-ray images dataset. (a) normal X-ray images and (b) abnormal X-ray images.

4.2. Coronavirus Classification Approach

As it is mentioned previously that coronavirus affects the human respiratory system, so it can be detected through X-ray images processing. The implemented system including the following steps, as shown in Fig. 3:

thumblarge

Fig. 3. Coronavirus classification approach.

  • X-ray images: Normal and abnormal X-ray images are collected to be used in this research.

  • Image acquisition: Different sizes of X-ray images are collected then converted into digital forms to be ready for processing.

  • Preprocessing: The digital images are resized to be in standard size, then the images are converted into gray scale images.

  • Feature Extraction DWT: DWT is applied to extract efficient features for the images. First level 2D-DWT is applied to achieve one quarter features of the original image concentrated in low-low band.

  • CNN: The first step on CNN is converting the input image into vector and feed it to a multi-level perceptron for classification purposes. The CNN architecture comprises several main components: input of the original image, convolutional ReLu, 1st pooling, convolutional ReLu, 2nd pooling, 1st fully connected, 2nd fully connected, and output prediction. These components are presented inFig. 4.

  • Decision-Making: The decision is made to differentiate between normal and abnormal cases. Statistical measurements such as mean value and standard deviation are applied to classify the output.

thumblarge

Fig. 4. Convolutional neural network architecture layers.

5. RESULTS AND DISCUSSION

Medical image classification is an important issue in the field medical image processing. The accuracy this field is very important and depends on many factors including preparing image dataset and preprocessing these image to be ready for the classification process. Sixty three chest X-ray images are used in these approach 30 normal cases and 33 abnormal cases (infected with COVID-19), these images are passed into all steps of the implemented system. These images passed to all the steps of the proposed COVID-19 diagnosis system. Then, these images are feeded to the pre-trained CNNs tool to diagnose COVID-19 and differentiate between normal and abnormal cases to achieve the recognition accuracy. Fig. 5 demonstrates the binary classification between normal chest from 30 patients and 33 patients who infected by corona which recognized through ground-glass opacity, based on their X-ray modality, the image sizes are 256 by 256, in which the validation accuracy is 92.31%.

thumblarge

Fig. 5. Training progress applied convolutional neural network.

Moreover, as demonstrated in Fig. 6, feature learning sensitivity or recall in the proposed system had an outstanding increase with a rise in the number of epochs, such that the sensitivity was 51.4% in case of having 1 epoch, while it became 92.31% when there reach 20 epochs.

thumblarge

Fig. 6. Feature learning sensitivity based on the number of epochs.

6. CONCLUSION

This approach hybridizing both DWT and CNN to achieve high performance. This implemented approach differentiate between the classes of X-ray chest images related to COVID-19. Recognition accuracy is very important in diagnosing diseases in relation to medical images. This accuracy is more important and needs fast decision-making in relation to COVID-19 disease. The obtained classification of COVID-19 diagnosis applied CNN tool achieved a validation accuracy of 92.31%. Some important conclusion can be raised here that some of flu diseases have similar effects as COVID-19 so they interrupt the results.

7. ACKNOWLEDGMENT

On this occasion, we would like to extend our sincere thanks and appreciation to the ScienceDirect database that contributed to supporting the research of COVID-19 by providing open access of research papers.

REFERENCES

[1] W. Lu, H. Wang, Y. Lin and L. Li. ”Psychological status of medical workforce during the COVID-19 pandemic:A cross-sectional study”. Psychiatry Research, vol. 288, 112936, 2020.

[2] COVID-19 Clinical Research Coalition. ”Global coalition to accelerate COVID-19 clinical research in resource-limited settings”. Lancet, vol. 395, pp. 1322-1325, 2020.

[3] K. Slim and J. Veziant. ”Urgent digestive surgery, a collateral victim of the Covid-19 crisis?”Journal of Visceral Surgery, vol. 157, pp. S5-S6, 2020.

[4] A. Ather, B. Patel, N. B. Ruparel, A. Diogenes and K. M. Hargreaves. ”Coronavirus disease 19 (COVID-19):Implications for clinical dental care”. Journal of Endodontics, vol. 46, pp. 584-595, 2020.

[5] A. Hormati, A. Shahhamzeh, M. Afifian, F. Khodadust and S. Ahmadpour. ”Can COVID-19 present unusual GI symptoms?”Journal of Microbiology, Immunology and Infection, vol. 53, pp. 384-385, 2020.

[6] K. Zhang. ”Is traditional Chinese medicine useful in the treatment of COVID-19?”The American Journal of Emergency Medicine, vol. 38, 2238, 2020.

[7] J. S. Hulot. ”COVID-19 in patients with cardiovascular diseases”. Archives of Cardiovascular Diseases, vol. 113, pp. 225-226, 2020.

[8] B. Pichi, F. Mazzola, A. Bonsembiante, G. Petruzzi and R. Pellini. ”CORONA-steps for tracheotomy in COVID-19 patients:A staff-safe method for airway management”. Oral Oncology, vol. 105, 104682.

[9] Z. S. Ulhaq and G. V. Soraya. ”Interleukin-6 as a potential biomarker of COVID-19 progression”. Médecine et Maladies Infectieuses, vol. 50, pp. 382-383, 2020.

[10] N. K. Kansal. ”COVID-19, syphilis, and biologic therapies for psoriasis and psoriatic arthritis:A word of caution”. Journal of the American Academy of Dermatology, vol. 82, p. e213, 2020.

[11] V. D. Powell and M. J. Silveira. ”What should palliative care's response be to the COVID-19 pandemic?”Journal of Pain and Symptom Management, vol. 60, pp. e1-e3, 2020.

[12] C. D. Codispoti, S. Bandi, J. N. Moy and M. Mahdavinia. ”Running a virtual allergy division and training program in the time of COVID-19 pandemic”. Journal of Allergy and Clinical Immunology, vol. 145, pp. 1357-1359, 2020.

[13] A. Haleem, M. Javaid and R. Vaishya. ”Effects of COVID-19 pandemic in daily life”. Current Medicine Research and Practice, vol. 10, pp. 78-79, 2020.

[14] S. H. F. Hagmann. ”COVID-19 in children:More than meets the eye”. Travel Medicine and Infectious Disease, vol. 34, 101649, 2020.

[15] N. Montemurro. ”The emotional impact of COVID-19:From medical staff to common people”. Brain, Behavior, and Immunity, vol. 87, pp. 23-24, 2020.

[16] D. Nicola, V. Martella, L. J. Saif and C. Buonavoglia. ”COVID-19 from veterinary medicine and one health perspectives:What animal coronaviruses have taught us”. Research in Veterinary Science, vol. 131, pp. 21-23, 2020.

[17] S. G. Kwatra, R. J. Sweren and A. L. Grossberg. ”Dermatology practices as vectors for COVID-19 transmission:A call for immediate cessation of nonemergent dermatology visits”. Journal of the American Academy of Dermatology, vol. 82, pp. e179-e180, 2020.

[18] B. Xu, M. U. G. Kraemer and Open COVID-19 Data Curation Group. ”Open access epidemiological data from the COVID-19 outbreak”. The Lancet Infectious Diseases, vol. 20, 534, 2020.

[19] J. M. Classe, G. Dolivet, S. Evrard, G. Ferron and O. Sgabura. ”Recommandations de la sociétéFrançaise de chirurgie oncologique (SFCO) pour l'organisation de la chirurgie oncologique durant l'épidémie de COVID-19”. Bulletin du Cancer, vol. 107, pp. 524-527, 2020.

[20] C. Chica-Meza, L. A. Peña-López, H. F. Villamarín-Guerrero, J. E. Moreno-Collazos and M. P. Vargas-Ordoñez. ”Cuidado respiratorio en Covid-19”. Acta Colombiana de Cuidado Intensivo, vol. 20, pp. 108-117, 2020.

[21] I. H. Hamzavi, A. B. Lyons, I. Kohli, S. Narla and D. M. Ozog. ”Ultraviolet germicidal irradiation:Possible method for respirator disinfection to facilitate reuse during the COVID-19 pandemic”. Journal of the American Academy of Dermatology, vol. 82, pp. 1511-1512, 2020.

[22] S. N. Emadi and B. Abtahi-Naeini. ”Coronavirus disease 2019 (COVID-19) and dermatologists:Potential biological hazards of laser surgery in epidemic area”. Ecotoxicology and Environmental Safety, vol. 198, 110598, 2020.

[23] B. Robson. ”Computers and viral diseases. Preliminary bioinformatics studies on the design of a synthetic vaccine and a preventative peptidomimetic antagonist against the SARS-CoV-2 (2019-nCoV, COVID-19) coronavirus”. Computers in Biology and Medicine, vol. 119, 103670, 2020.

[24] E. Asperges, S. Novati, A. Muzzi, S. Biscarini and COVID-19 IRCCS San Matteo Pavia Task Force. ”Rapid response to COVID-19 outbreak in Northern Italy:How to convert a classic infectious disease ward into a COVID-19 response centre”. Journal of Hospital Infection, vol. 105, pp. 477-479, 2020.

[25] M. D'Arienzo and A. Coniglio. ”Assessment of the SARS-CoV-2 basic reproduction number, R 0, based on the early phase of COVID-19 outbreak in Italy”. Biosafety and Health, vol. 2, pp. 57-59, 2020.

[26] C. Wenham, J. Smith, R. Morgan and Gender and COVID-19 Working Group. ”COVID-19:The gendered impacts of the outbreak”. The Lancet, vol. 395, no, 10227, pp. 846-848, 2020.

[27] N. Penel, S. Bonvalot, V. Minard, D. Orbach and J. Y. Blay. ”Options thérapeutiques de prise en charge des sarcomes durant la pandémie COVID-19:Propositions du groupe sarcome français”. Bulletin du Cancer, vol. 107, pp. 398-399, 2020.

[28] A. Post, R. P. F. Dullaart and S. J. L. Bakker. ”Is low sodium intake a risk factor for severe and fatal COVID-19 infection?”European Journal of Internal Medicine, vol. 75, 109, 2020.

[29] G. Lippi, C. J. Lavie and F. Sanchis-Gomar. ”Cardiac troponin I in patients with coronavirus disease 2019 (COVID-19):Evidence from a meta-analysis”. Progress in Cardiovascular Diseases, vol. 63, pp. 390-391, 2020.

[30] R. L. Mitra, S. A. Greenstein and L. M. Epstein. ”An algorithm for managing QT prolongation in Coronavirus disease 2019 (COVID-19) patients treated with either chloroquine or hydroxychloroquine in conjunction with azithromycin:Possible benefits of intravenous lidocaine”. Heart Rhythm Case Reports, vol. 6, pp. 244-248, 2020.

[31] I. V. Vahia, D. G. Blazer, G. S. Smith, J. F. Karp and C. F. Reynolds 3rd. COVID-19, mental health and aging:A need for new knowledge to bridge science and service”. The American Journal of Geriatric Psychiatry, vol. 28, pp. 695-697, 2020.

[32] M. S. Shaker, J. Oppenheimer, M. Grayson, D. Stukus and M. Greenhawt. ”COVID-19:Pandemic contingency planning for the allergy and immunology clinic”. The Journal of Allergy and Clinical Immunology, vol. 8, pp. 1477-1488e5, 2020.

[33] K. N. Price, R. Thiede, V. Y. Shi and C. Curiel-Lewandrowski. ”Strategic dermatology clinical operations during COVID-19 pandemic”. Journal of the American Academy of Dermatology, vol. 82, pp. e207-e209, 2020.

[34] D. Vervoort, X. Ma, J. G. Y. Luc and S. Zieroth. ”Rapid scholarly dissemination and cardiovascular community engagement to combat the infodemic of the COVID-19 pandemic”. Canadian Journal of Cardiology, vol. 36, pp. 969.e1-969.e2, 2020.

[35] J. Xu and Y. Zhang. ”Traditional Chinese medicine treatment of COVID-19”. Complementary Therapies in Clinical Practice, vol. 39, 101165, 2020.

[36] X. Y. Li, W. J. Dai, S. N. Wu, X. Z. Yang and H. G. Wang. ”The occurrence of diarrhea in COVID-19 patients”. Clinics and Research in Hepatology and Gastroenterology, vol. 44, pp. 284-285, 2020.

[37] G. Lippi and B. M. Henry. ”Chronic obstructive pulmonary disease is associated with severe coronavirus disease 2019 (COVID-19)”. Respiratory Medicine, vol. 167, p.105941, 2020.

[38] S. A. Ali, M. Baloch, N. Ahmed, A. A. Ali and A. Iqbal. ”The outbreak of Coronavirus disease 2019 (COVID-19)-an emerging global health threat”. Journal of Infection and Public Health, vol. 13, no. 4, pp. 644-646, 2020.

[39] G. K. M. Goh, A. K. Dunker, J. A. Foster and V. N. Uversky. ”Shell disorder analysis predicts greater resilience of the SARS-CoV-2 (COVID-19) outside the body and in body fluids”. Microbial Pathogenesis, vol. 144, 104177, 2020.

[40] M. Underner, G. Peiffer, J. Perriot and N. Jaafari. ”Tabagisme et maladie àCoronavirus 2019 (COVID-19)”. Revue des Maladies Respiratoires, vol. 37, pp. 433-436, 2020.

[41] M. S. Al-Ani and D. M. Al-Ani. ”Review study on sciencedirect library based on Coronavirus Covid-19”. UHD Journal of Science and Technology (UHDJST), vol. 4, no. 2, 46, 2020.